Endodontic retreatment – part two
Arvind Sharma concludes his two-part article on non-surgical root retreatment of the mandibular left first premolar
In the first part of this article we looked at the medical and dental history, radiographic examination and diagnosis of a 49-year-old male patient who initially attended for an emergency appointment. He was experiencing pain and swelling from LL4, which had previously been root treated while on holiday.
Treatment Plan
Since the patient was well motivated and wished for a predictable long-term solution, he opted for reduction of the infection with root canal retreatment under private contract. He did not wish to keep the tooth under observation since there was a risk of his symptoms returning and he did not wish for extraction of tooth LL4 since this would have functional and aesthetic implications for him.
The treatment procedures with risks were discussed at length. The patient was advised that treatment success would be achieved by removing all of the previous obturation materials, locating the additional canal(s), chemically and mechanically disinfecting the canals and finally obturating the canals and providing a definitive coronal seal.
The patient was given the opportunity to ask questions and these were answered to the patient’s satisfaction. The patient was given a good prognosis upon successful completion of treatment with a success rate approximated at 62-86 per cent, based on evidence published by Sjogren et al 1990. The patient was advised that non-surgical root canal retreatment was indicated as a primary treatment option as indicated by Rahbaran et al 2001. Consent was taken and two subsequent appointments made.
Treatment plan was as follows:
a) Antibiotic prescription to reduce facial swelling.
b) Oral hygiene advice and instruction plus interdental cleaning demonstration.
c) Scale and polish
d) Restorability assessment and root canal re-treatment of tooth LL4 over two visits
e) Definitive composite restoration of access cavity
f) Review (one year).
Items b and c were performed by the practice
dental hygienist.
- Fig 1 – Previous GP removed
- Fig 2 – LL4 WL radiograph of buccal canal
- Fig 3 – LL4 WL radiograph of lingual canal
- Fig 4 – LL4 MAC radiograph
- Fig 5 – LL4 final radiograph
- Fig 6 – LL4 one-year review radiograph
Treatment description
After the patient was questioned about his lack of any allergies, a prescription for amoxicillin 500mgs tds for five days was given as per recommendations by SDCEP (Scottish Dental Clinical Effectiveness Programme) 2014.
The patient attended when he could schedule an appointment around his work commitments, which was 16 days later. The restorability of tooth LL4 was discussed and, since the present restoration was well fitting and functioning well, it was decided to maintain this onlay and perform the root canal retreatment through the occlusal surface. This decision was based on evidence published by Saunders and Saunders 1994. The patient, however, was warned that in the event that the onlay suffered damage as a result of the access cavity, he would require a new restoration. The possibility of a future full coverage crown was also discussed. The procedure was again explained and the patient consented to treatment.
Topical anaesthesia was administered with 20 per cent benzocaine. After 60 seconds, as recommended by Malamed 1990, a buccal and lingual infiltration was administered with Septanest 2.2mls articaine hydrochloride 4 per cent with adrenaline 1:100,000. An articaine infiltration was chosen as opposed to a 2 per cent lignocaine or 3 per cent prilocaine inferior dental block since, in the author’s experience, articaine gives fast and profound anaesthesia which is ideal for root canal treatments of lower premolars, as recommended by Malamed et al 2000. Rubber dam (Optidam, Kerr) was then placed and sealed with oraseal to prevent any liquid leakage into the oral cavity.
An access cavity was prepared with Dentsply Access Cavity burs, through the existing composite onlay with the aid of X2 magnification surgical loupes. The obturation material was located buccally and identified as pink gutta percha. This was subsequently removed with the aid of Gates Glidden burs, Hedstrom stainless steel files sizes 25 and 30 and solvent (chloroform). This solvent was used since Tamse et al 1986 showed chloroform to be an effective solvent for the purposes of gutta percha removal. Also, Chutich et al 1998 advised chloroform poses minimal risks to the operator and patient when used in retreatment cases. Figure 1 shows a piece of gutta percha removed.
The canal was irrigated copiously with 5.25 per cent heated (50 degrees celsius) sodium hypochlorite. Heated sodium hypochlorite was used because research by Cunningham et al 1980, Abou-Rass et al 1981, Gambarini et al 1998 and Sirtes et al 2005 have all shown the enhanced tissue dissolving effects of 5.25 per cent sodium hypochlorite when heated to 45-60°C. A radiograph was then taken to verify the working length (20mm from the occlusal surface reference point) and to confirm gutta percha removal since a zero reading had been achieved (at 20.5mm and 0.5mm deducted to give the correct working length) with an electronic apex locator (EAL) (Morital ZX). The EAL was used since much published research appears to have the aforementioned EAL model as being the gold standard amongst other EAL’s. Kobayashi et al 1995 discussed the accuracy of EAL’s of measuring the working length to 0.5mm of the apical foramen. Many studies have concurred with this study. Patency had also been achieved in the buccalcanal (Fig 2).
The tooth was then assessed with the aid of a surgical operating microscope (Carl Zeiss Pico) at x10 magnification. The remaining gutta percha was removed with the aid of Gooseneck burs and a DG16 probe. To locate the lingual canal which was apparent on the initial radiograph, root dentine was removed with ultrasonics (Satalec P5, Satalec-Acteon Merignac, France) using a Start X size three tip and K1 carbon file (Sybron Endo) used to enter the canal. A working length was established as before and measured with an EAL and verified with another radiograph. The lingual canal was again patent and had a working length of 19mm from the occlusal surface reference point (Fig 3).
GG burs were again used to achieve straight-line access being careful not to remove excessive dentine and restoration material. Copious irrigation with 5.25 per cent heated sodium hypochlorite was performed and a glide path was established with 2 per cent taper K files, 10-20 with patency being confirmed by recapitulating with a size 10 stainless steel
K file. The files were used with a watch-winding action and finished with a push-pull motion until a smooth glide path was created.
Canals were dried and a temporary dressing of calcium hydroxide paste (Ultracal ultradent USA) placed in each canal with 1mm of the WL. Several studies including Mohammadi et al 2011, Siqueira et al 1999 and Sjogren et al 1991 have shown and discussed the antimicrobial benefits of calcium hydroxide as an inter-appointment medicament and have recommended its use for between two and four weeks. A foam pellet (Roeko) was placed in the pulp chamber since this is easily removed and does not have fibres which may lodge into a root canal space unlike cotton wool. A GI temporary restoration was placed in the access cavity. POIG and the patient made an appointment for two weeks later.
At the second appointment the patient reported tooth LL4 to be completely symptom-free. Upon clinical examination, no submandibular swelling was noted, no buccal or lingual swelling noted, the tooth was not TTP and the temporary dressing was in situ and well-sealed.
Topical anesthetic was placed as before and septanest LA was administered as before. Rubber dam with oraseal was placed and the temporary dressing removed. The canals were irrigated with 5.25 per cent heated NaOCl and, after gauging the canal dimensions with size 20 and 25 K files, were prepared with Reciproc R25 reciprocating rotary file (tip diameter of 0.25mm with a 8 per cent taper) using a X-Smart Plus Endodontic motor (Dentsply). The Reciproc rotary file system was chosen to ensure complete residual gutta percha removal, efficient infected root dentine removal whilst maintaining the integrity of the root canal space. This file has M-Wire technology which has been shown to have greater flexibility and resist cyclic fatigue fracture. It has an S-shaped cross-section which enhances dentine removal from the root canal and a regressive taper. Research by Yared 2008, Yared 2011 and Gavini et al 2012 have shown this file to have superior properties when compared to a continuous motion NiTi file system and has been shown to be particularly efficient when used in retreatment cases.
Both canals were prepared to length with a pecking motion as per the manufacturers guidelines. A MAC radiograph was taken to verify GP lengths after gauging each canal to an apical width size 25 (MAF) (Fig 4).
A final rinse was performed with 5.25 per cent heated NaOCl with sonic agitation using a Waterpik flosser for 30 seconds in each canal. This device uses sonic energy to vibrate a polymer tip which does not damage the root dentine if touched. It works at the same frequency and principle as the Endoactivator which Ruddle 2007, Ruddle 2008, Mancini et al 2013 and Paragliola et al 2010 have shown enhances smear layer removal and the effectiveness of the final rinse protocol. Each canal was again irrigated with NaOCl and then irrigated with 17 per cent EDTA (as recommended by Bystrom et al 1985 and Calt et al 2002) for a further 30 seconds with a final flush with NaOCl. The canals were then dried with R25 paper points until the tips of the points were withdrawn from the canals dry.
Obturation was performed with R25 gutta percha cones sealed with AH Plus sealer via continuous wave and heated backfill. B&L (alpha and beta) hot-tip and GP gun were used to facilitate this. AH Plus sealer has been shown to have excellent sealing qualities as described by Ungor et al 2006 and Siqueira et al 2000. The heated GP was condensed with a size two Machtou plugger. A heated obturation method was chosen to achieve a 3 dimensional seal as advised by Schilder 1967.
The continuous wave method of root canal oburation has been shown to be an efficient method to achieve a homogenous gutta percha seal as described by Buchanan 1994 and 1996. Gooseneck burs were then used to level and smooth the GP to the canal orifice level. The chamber was cleansed with isopropyl alcohol and sealed with SDR light-cured flowable composite after applying 37 per cent hydrophosphoric acid for 20 seconds, washing with water for 20 seconds, drying with air and applying a dentine bonding agent (Prime and Bond NT). The remainder of the access cavity was restored with composite resin (Filtek Supreme A3) and light cured for 20 seconds.
The rubber dam was then removed, the occlusion checked in ICP and lateral excursions and the surface polished with rubber cups and diamond polishing paste. A final radiograph was taken showing a well-condensed obturation with good coronal, mid and apical seal. Some sealer extrusion was noted (Fig 5).
Review
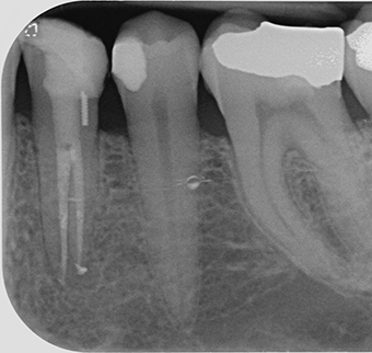
At a one-year review appointment the patient reported no symptoms and he was delighted at how quickly the tooth had settled post-treatment. Clinical examination reported no significant findings (no soft tissue swelling or tenderness to percussion). The radiograph taken (Fig 6) shows signs of radiographic healing since the radiolucency visible on the pre-operative radiograph is not present. Interestingly, there appears to be some sealer present mid canal on either one or both canals. This may be a lateral canal(s) which was not evident from the initial post-op radiograph taken a year ago. Again, some sealer extrusion is noted in the lingual canal. The definitive restoration was also functioning well.
Discussion
Root canal treatment can be a very challenging dental discipline due to the complexity of the root canal system. Root canal retreatment adds another dimension because the clinician has to dismantle another clinician’s work and orientate himself according to the radiographic evidence available. Fortunately, in this case, the radiographic view available was sufficient to obtain the necessary canal anatomy. Upon reflection, another 5 degree angled- view peri-apical radiograph may have given a better image of the additional root. The decision was made, however, according to IRMER(2000) and IRR99, not to expose the patient to further radiation and that the available radiograph was sufficient for diagnostic purposes.
This case also demonstrates the importance of using a surgical operating microscope (SOM). As discussed by Vertucci 1984 and 2005, mandibular permanent first premolars can present with a number of canal configurations. In this case a class V configuration is noted and according to Vertucci 1984, approximately 24 per cent of mandibular lower first premolars have this configuration. The lingual canal could be seen with the SOM but was not visible with x2 magnification surgical loupes. The SOM certainly enhanced the operative procedure and enabled me to treat this case more effectively and with greater precision.
In every endodontic case I complete, I feel it important to reflect and identify where the treatment could have been improved. In this case a radiograph taken after placement of Ca(OH)2 would have shown me the position of the radio-opaque paste and given me confirmation that it was placed within 1-2mm of the radiographic apex in the apical third of the root canals. Also, a radiograph taken as a midfill would have confirmed that the apical third had been obturated adequately before the heated backfill obturation was commenced. Since obtaining a good apical seal is paramount, a customised MAC possibly could have been used to achieve the apical anatomical detail with the use of
chloroform solvent.
This method, however, was not used since the heated method of obturation used enabled an accurate apical seal. Fortunately the final radiograph shows a well compacted obturation in both canals at the correct working length. A criticism of the final radiograph would be that there appears to be a small void above the GP where the SDR has been placed. This will be kept under observation and since the remainder of the composite restoration is well condensed, I see no reason to replace the composite at this time. There is also some sealer extrusion but according to Sari et al 2007 and Augsburger and Peters 1990, no consequences should result and no foreign body reaction should ensue. Periapical healing is not impaired in adults. Sari et al 2007 also showed that approximately 56 per cent of extruded AH Plus disappears over a 4 year period. The patient has been advised and this will be reviewed, although not with a radiograph due to limiting the patient to x radiation, at every subsequent examination.
The one-year post-operative radiograph shows signs of radiographic healing. There are, of course, limitations of this imaging modality. Radiographs give a two-dimensional view of a three-dimensional spatial relationship. Although there appears to be radiographic healing, the image does not show all of the surfaces of this tooth’s apex. Cone beam computed tomography (CBCT) could give a more detailed and accurate view of all the tooth’s surfaces and allow a more definitive conclusion to be made with regards to the healed status of the tooth. Ultimately, histological analysis would provide a definitive answer but this is not possible.
Since the patient reports that the tooth is asymptomatic, taking a CBCT image would not be recommended and is not indicated according to current European Society of Endodontology 2014 guidelines. According to Patel et al 2015, teeth that appear radiographically as healed may be diagnosed as having a radiolucent periapical area on a CBCT. This may be present in an asymptomatic tooth and raises the question of what should be done to manage this if the patient is not experiencing any symptoms.
References
Abou-Rass M and Oglesby SW, 1981. The effects of temperature, concentration, and tissue type on the solvent ability of sodium hypochlorite. Journal of endodontics, 7(8), pp. 376-377.
Augsburger, RA and Peters, DD, 1990. Radiographic evaluation of extruded obturation materials. Journal of endodontics, 16(10), pp. 492-497.
Buchanan LS, 1996. The continuous wave of obturation technique:’centered’condensation of warm gutta percha in 12 seconds. Dentistry today, 15(1), pp. 7.
Buchanan LS, 1994. The continuous wave of condensation technique: a convergence of conceptual and procedural advances in obturation. Dentistry today, 13(10), pp. 5.
Bystrm A and Sunvqvist G, 1985. The antibacterial action of sodium hypochlorite and EDTA in 60 cases of endodontic therapy. International endodontic journal, 18(1), pp. 35-40.
Calt S and Serper A, 2002. Time-dependent effects of EDTA on dentin structures. Journal of endodontics, 28(1), pp. 17-19.
Chutich MJ, Kaminski EJ, Miller DA and Lautenschlager EP, 1998. Risk assessment of the toxicity of solvents of gutta-percha used in endodontic retreatment. Journal of endodontics, 24(4), pp. 213-216.
Cunningham WT and Joseph SW, 1980. Effect of temperature on the bactericidal action of sodium hypochlorite endodontic irrigant. Oral Surgery, Oral Medicine, Oral Pathology, 50(6), pp. 569-571.
Dalton BC, Rstavik D, Phillips C, Pettiette M and Trope M, 1998. Bacterial reduction with nickel-titanium rotary instrumentation. Journal of endodontics, 24(11), pp. 763-767.
Gambarini G, De Luca M and Gerosa R, 1998. Chemical stability of heated sodium hypochlorite endodontic irrigants. Journal of endodontics, 24(6), pp. 432-434.
Kakehashi S, Stanley HR and Fitzgerald RJ, 1965. The effects of surgical exposures of dental pulps in germ-free and conventional laboratory rats. Oral Surgery, Oral Medicine, Oral Pathology, 20(3), pp. 340-349.
Kobayashi C, 1995. Electronic canal length measurement. Oral Surgery, Oral Medicine, Oral Pathology, Oral Radiology, and Endodontology, 79(2), pp. 226-231.
Malamed SF, 2014. Handbook of local anesthesia. Elsevier Health Sciences.
Malamed SF, Gagnon S and Leblanc D, 2000. Efficacy of articaine: a new amide local anesthetic. The Journal of the American Dental Association, 131(5), pp. 635-642.
Mancini M, Cerroni L, Iorio L, Armellin E, Conte G and Cianconi L, 2013. Smear layer removal and canal cleanliness using different irrigation systems (EndoActivator, EndoVac, and passive ultrasonic irrigation): field emission scanning electron microscopic evaluation in an in vitro study. Journal of endodontics, 39(11), pp. 1456-1460.
Mohammadi Z and Dummer PMH, 2011. Properties and applications of calcium hydroxide in endodontics and dental traumatology. International endodontic journal, 44(8), pp. 697-730.
Molander, A., Reit, C. And Dahln, G., 1999. The antimicrobial effect of calcium hydroxide in root canals pretreated with 5 per cent iodine potassium iodide. Dental Traumatology, 15(5), pp. 205-209.
Nair PR, Sjgren U, Figdor D and Sundqvist G, 1999. Persistent periapical radiolucencies of root-filled human teeth, failed endodontic treatments, and periapical scars. Oral Surgery, Oral Medicine, Oral Pathology, Oral Radiology, and Endodontology, 87(5), pp. 617-627.
Nair PR, Sjgren U, Krey G, Kahnberg K and Sundqvist G, 1990. Intraradicular bacteria and fungi in root-filled, asymptomatic human teeth with therapy-resistant periapical lesions: a long-term light and electron microscopic follow-up study. Journal of endodontics, 16(12), pp. 580-588.
Paragliola R, Franco V, Fabiani C, Mazzoni A, Nato F, Tay FR, Breschi L and Grandini S, 2010. Final rinse optimization: influence of different agitation protocols.Journal of endodontics, 36(2), pp. 282-285.
Patel S, Durack C, Abella F, Shemesh H, Roig M and Lemberg K, 2015. Cone beam computed tomography in endodontics–a review. International endodontic journal, 48(1), pp. 3-15.
Patel S, Durack C, Abella F, Roig M, Shemesh H, Lambrechts P and Lemberg K, 2014. European Society of Endodontology position statement: The use of CBCT in Endodontics. International endodontic journal, 47(6), pp. 502-504.
Rahbaran S, Gilthorpe MS, Harrison SD and Gulabivala K, 2001. Comparison of clinical outcome of periapical surgery in endodontic and oral surgery units of a teaching dental hospital: a retrospective study. Oral Surgery, Oral Medicine, Oral Pathology, Oral Radiology, and Endodontology, 91(6), pp. 700-709.
Ruddle CJ, 2008. Endodontic Disinfection. Endodontic practice, .
Ruddle CJ, 2007. Hydrodynamic disinfection. Dentistry today.
Sari Ş and Durutűrk L, 2007. Radiographic evaluation of periapical healing of permanent teeth with periapical lesions after extrusion of AH Plus sealer. Oral Surgery, Oral Medicine, Oral Pathology, Oral Radiology, and Endodontology, 104(3), pp. e59.
Saunders WP and Saunders EM, 1994. Coronal leakage as a cause of failure in root‐canal therapy: a review. Dental Traumatology, 10(3), pp. 105-108.
Schilder H, Goodman A and Aldrich W, 1974. The thermomechanical properties of gutta-percha: III. Determination of phase transition temperatures for gutta-percha. Oral Surgery, Oral Medicine, Oral Pathology, 38(1), pp. 109-114.
Siqueira JF and Lopes HP, 1999. Mechanisms of antimicrobial activity of calcium hydroxide: a critical review. International endodontic journal, 32(5), pp. 361-369.
Siqueira JF, Favieri A, Gahyva SM, Moraes SR, Lima KC and Lopes HP, 2000. Antimicrobial activity and flow rate of newer and established root canal sealers. Journal of endodontics, 26(5), pp. 274-277.
Sirtes G, Waltimo T, Schaetzle M and Zehnder M, 2005. The effects of temperature on sodium hypochlorite short-term stability, pulp dissolution capacity, and antimicrobial efficacy.Journal of endodontics, 31(9), pp. 669-671.
Sjögren U, Hagglund B, Sundqvist G and Wing K, 1990. Factors affecting the long-term results of endodontic treatment. Journal of endodontics, 16(10), pp. 498-504.
Sjögren U, Figdor D, Spångberg L and Sundqvista G, 1991. The antimicrobial effect of calcium hydroxide as a short‐term intracanal dressing. International endodontic journal, 24(3), pp. 119-125.
Tamse A, Unger U, Metzger Z and Rosenberga M, 1986. Gutta-percha solvents—a comparative study. Journal of endodontics, 12(8), pp. 337-339.
Ungor M, Onay EO and Orucoglu H, 2006. Push‐out bond strengths: the Epiphany–Resilon endodontic obturation system compared with different pairings of Epiphany, Resilon, AH Plus and gutta‐percha. International endodontic journal, 39(8), pp. 643-647.
Vertucci FJ, 2005. Root canal morphology and its relationship to endodontic procedures. Endodontic topics, 10(1), pp. 3-29.
Vertucci FJ, 1984. Root canal anatomy of the human permanent teeth. Oral surgery, oral medicine, oral pathology, 58(5), pp. 589-599.
Verifiable CPD Questions
VERIFIABLE CPD QUESTIONS
AIMS and OBjectiveS:
- To review clinical history and
endodontic diagnosis - To recognise the importance
of preoperative radiographs - To illustrate to the clinician the complexity of root canal anatomy of mandibular
first premolars - To highlight the benefits of a microscope
in endodontics - To provide the clinician some of the advantages of heated obturation.
LEARNING OUTCOMES:
- Be aware of the incidence and location of additional canals in mandibular first premolars and be able to assess and diagnose mandibular first premolars which may have two root canals
- Be able to highlight the importance of microscopes in endodontic case management
- Know when to consider making an endodontic referral.
HOW TO VERIFY YOUR CPD
Go online to https://https://https://https://sdmag.wpengine.com and click
on the CPD tab to access all our CPD
Q&As and certificates






Comments are closed here.