Pathway to perfection?
Dr Tom Canning demonstrates the techniques and factors that need to be considered when dealing with patients’ high expectations in aesthetic cases
Modern dentistry has undergone a revolution in the area of cosmetic or aesthetic dentistry. Patients more frequently put an emphasis on improving the appearance of their teeth and often have high expectations. This article aims to demonstrate some factors that need to be considered and techniques used in order to achieve this goal. Clinical cases will be used to illustrate this process.
Patient history
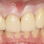
Patients who wish to improve the appearance of the front teeth generally do so as there is a particular feature of their smile with which they are unhappy. Discolourations, previous dentistry, missing teeth, misshapen teeth, excessive gingival display, gingival recession, tooth crowding, spacing or movement are some examples of the dental factors affecting the smile (Figs ı and 2).
Depending on the individual patient’s presentation, different treatment options may be indicated to achieve their goals. The most important factor for success is accurately distilling from the patient what particularly concerns them about their teeth. Once this has been established, the clinician can then begin to visualise how the case will look upon completion. It goes without saying that it is particularly important to undertake a thorough extra-oral examination (Table ı). The clinician should be looking for any indications of factors that are detrimental to the appearance of the teeth.
During the intraoral examination, attention should be given to the occlusion, both static and dynamic, as this may influence the treatment plan, restoration type, number of teeth to be restored and even the materials to be used. Of importance also is the presence of tooth wear. Its location, distribution and characteristics will point to the underlying aetiologyı and correct management. A diagnosis of bruxism or parafunction may impact on the treatment plan.
Dento-gingival complex and importance of pink aesthetics
An understanding of the normal size, shape, position and arrangement of the natural dentition is essential. Much has been written about certain values or proportions that are key to a “perfect smile” but in reality, there is no single formula for all.
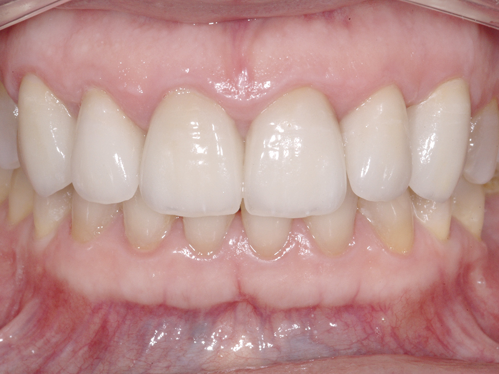
In practical terms, average anterior tooth size2, height:width ratios2 and relative proportion of anterior teeth3 are of use. This information can be taken together with a desired incisal edge position of the final restorations to arrive at a tentative starting point. When restoring anterior teeth, the most important starting point is the proposed final incisal edge position as this then determines tooth size and length. This may have important consequences on the gingival margin positions in order to maintain ‘ideal’ tooth proportions for an aesthetic outcome (Figs 3 and 4).
An example of this would be where tooth wear has occurred and the worn teeth may have experienced compensatory over-eruption maintaining the position of their incisal edges. In this instance, further addition to the incisal aspect of the teeth would not result in an aesthetic outcome and consideration must be given to either orthodontic repositioning of the teeth prior to restoration, or possibly crown lengthening to reposition their gingival margin levels.
The relationship of the periodontal tissues – in particular, the gingival margin positions, symmetry, interdental papilla and amount of gingival display – are all important (Fig 5). Much has been written on the need for aesthetically correct gingivae to frame the teeth or restorations to provide highly aesthetic outcomes. Periodontal plastic procedures can aid the outcome of restorative dentistry, so co-ordination with periodontal colleagues is vitally important. An understanding of the limitations of grafting procedures is also important and the use of alternatives, in particular the use of pink porcelain, should be considered (Fig 6). Careful communication with your laboratory is needed in order to develop natural-looking prosthetic gingivae.
- Patient A intra-oral. Discoloured, leaking restorations. Teeth are too broad and have poor axial alignment
- Patient A smiling. Poor smile aesthetics, occlusal plane disruption and poor tooth form
- Patient A – provisional restorations with corrected incisal edge position
- Patient A – in order to develop correct tooth size (Height:Width ratios) minor crown lengthening was undertaken
- Patient B – combined vertical and horizontal ridge defect with loss of gingival architecture
- Patient B – use of pink porcelain to create an artificial interdental papilla and achieve more ideal pink-aesthetics
Excessive gingival display (gummy smile)
Most often as restorative dentists we are challenged by a deficiency in periodontal tissues either as a consequence of periodontal disease or tooth loss. However, an excess of gingival tissue display can also be unsightly and can lead to a patient being unhappy with their gummy smile (Table 2).
In certain instances, subtractive periodontal procedures alone can be sufficient in the management of such cases. Where roots of teeth may become exposed by surgical crown lengthening procedures, root coverage may become necessary and should be planned for.
Depending on the aetiology and the contributing factors, dentistry alone may not provide the solution. Orthodontic treatment in isolation or together with maxillofacial or plastic surgery may be necessary to achieve the ideal aesthetic outcome, therefore a careful assessment should be made for such patients prior to treatment.
- Patient A – smooth tooth preparations and well-fitting provisional restorations allow for maintenance of periodontal health and ease of impressions
- Patient A – final restorations with improved proportions, alignment and characterised porcelain
- Patient A – overall improvement in smile from restoring six anterior teeth
- Patient C – bright natural teeth with minor surface loss
- Patient C – conservative preparations and restoration with feldspathic veneers to improve appearance
- Dark crown preps with discoloured cores
- Opaque zirconia based restorations to mask underlying discolouration
Treatment planning: diagnostic wax-up or virtual smile design
Before making any reversible alterations to the existing teeth, it may be necessary to undertake a diagnostic wax-up. This is of particular importance if changes are planned in relation to tooth size, shape or position. This can aid in patient acceptance, but more importantly gives a clear indication of the proposed final appearance of the teeth.
More recently, digital manipulation of clinical photographs using dedicated software has become available and this can be very useful to contrast pre-op images and planned results. Ideally, some form of temporary mock-up should be provided to see the effects of proposed changes in the patient’s mouth. This is not always feasible, as in some instances subtractive changes are being planned and this is where virtual smile design has an advantage.
Provisionalisation and tissue management
Once a treatment plan has been accepted and teeth have been prepared, careful provisionalisation following the blueprint of a diagnostic wax-up may be required. A period of time spent in provisional crowns can be useful for a number of reasons. This gives the clinician an opportunity to review questionable teeth, assess planned occlusal changes and finally review with the patient any alterations and their effects on the final aesthetic arrangement of the teeth. Should further changes be requested, provisional crowns can easily be adjusted and once acceptable can then be copied to create a go-by cast to be followed in final restorations.
In order to achieve acceptable aesthetic results with anterior crowns, subgingival crown margin placement is generally required. The maintenance of periodontal health is essential in order to allow for accurate impressions of the prepared teeth. Highly accurate impressions of stable gingival tissues allow for crowns to be made precisely resulting in better marginal fit and ongoing periodontal health. This is essential for predictable long-term aesthetic success (Fig 7).
Tooth colour: selection of appropriate materials
Patients generally do not complain that their teeth are too light and trends towards brighter teeth are seen in everyday practice. When restoring anterior teeth, the colouration of the prepared teeth should be carefully considered.
How light will interact with the final restorations is important here. Currently available indirect restoratives can be grouped according to their degree of translucency or opacity. Indeed, some currently available systems offer a range of translucency depending on the prevailing clinical conditions (Table 3).
In achieving the most aesthetic outcome, a balance must be struck between the nature of the prepared teeth, selection of the appropriate restorative materials and the degree of tooth preparation undertaken. The ideal situation would consist of a naturally coloured tooth allowing for a translucent restoration with minimal tooth preparation (Figs ı0 and ıı).
The other end of the spectrum, however, is also frequently encountered. Teeth that are highly discoloured will require more opaque restorations to mask their underlying darkness and the ceramist will need additional thickness of porcelain to create lifelike restorations. Unfortunately, there is no perfect system for all eventualities.
In the author’s opinion, there is still a place today for porcelain fused to metal crowns on anterior teeth in aesthetic dentistry in selected cases. Excellent results can be achieved when the ceramist is given enough room in terms of tooth preparation for creating natural-looking porcelain.
In order for our technicians to achieve the results we desire, as much information as possible should be made available to them. The final desired shade often is not enough and the shade of the prepared tooth stump should also be indicated. Photographs of prepared teeth are beneficial in this respect (Figs 12 and 13).
Customising the smile
When considering “ideal” aesthetics using “normal” measurements and relationships there can be a tendency towards arriving at an artificial or a “too-perfect” result. Many discerning patients want their teeth to be improved upon, but also request that the end result appears natural.
Nature inevitably demonstrates some asymmetries
and this usually adds character to an individual’s smile. Minor tooth rotations and attention to detail in terms of surface texture and shading can go a long way to achieving this goal.
Incorporating characteristics from the patient’s own natural teeth into the final restorations can also be a useful tool. Photographs of unprepared healthy adjacent or opposing teeth offers the ceramist an idea of shade transitions, enamel surface texture, tooth form and translucency and adds to the overall micro-aesthetics of the case (Figs 8 and 9).
Tables
| Table 1: Extra-oral examination | |
|---|---|
| FACIAL VIEW: | |
| Occlusal plane orientation | Tooth display (incisal edge position) |
| OVD assessment | Gingival display |
| facial symmetry/centre lines/alignment of teeth | |
| SAGITTAL PROFILE: | |
| Skeletal pattern. | OVD assessment |
| Labial-lingual position of incisor teeth | |
| SMILING VIEW: | |
| Smile line-normal, flat, reversed | Tooth display |
| Gingival display | buccal corridor |
| Tooth colour | Any other obvious deviations from ideal |
| Table 2: Factors associated with excess gingival display | |
|---|---|
| Tooth position | Large maxilla (vertical maxillary excess) |
| Delayed passive eruption | Gingival overgrowth |
| Short upper lip | Hyper-mobile upper lip |
| Table 3: Translucency of commonly used indirect restorative materials |
||
|---|---|---|
| TRANSLUCENT MATERIALS | VARIABLE TRANSLUCENCY | OPAQUE MATERIALS |
| Feldspathic Porcelain | E-Max | Zirconia based |
| Empress Esthetic | Procera Alumina | Metal-ceramic |
About the author
Dr Tom Canning, DentSc MFD (RCSI) DChDent (Prosthodontics), is a specialist prosthodontist and maintains a specialist prosthodontic practice at Clontarf Aesthetic Dentistry, 9 Clontarf Road, Dublin 3. Contact the practice at 00353 (0) 1 525 0490 or by visiting www.clontarfaestheticdentistry.com
References:
- Verrett RG (2001): Analysing the aetiology of an extremely worn dentition. J. Prostho; 10:224-233.
- Width/length ratios of normal clinical crowns of the maxillary anterior dentition in man. Sterrett JD, Oliver T, Robinson F, Fortson W, Knaak B, Russell CM. J Clin Periodontol. 1999 Mar;26(3):153-7
- Dentists’ preferences of anterior tooth proportion-a web-based study. Rosenstiel SF, Ward DH, Rashid RG. J Prosthodont. 2000 Sep;9(3):123-36
Verifiable CPD Questions
AIMS & OBS:
- Understand factors to be considered for predictable aesthetic outcomes
- Illustrate the role of preliminary planning, gingival tissues and their position and management and choice of appropriate restorative materials.
LEARNING OUTCOMES:
- Understand the role of the diagnostic wax-up in planning aesthetic dental treatment
- Understand the role of marginal gingival position and how to evaluate it
- Choose the appropriate indirect materials for a given clinical situation
Submit your answers listings














Comments are closed here.